An astrocytoma can be one of the more aggressive forms of glioma, one of the tumours that form in the glial cells in the brain or spinal cord. Although some
News
The rise of the internet was originally seen as a wonderful way to ensure easier access to information. But, all too often, this benefit is offset by inaccurate content or
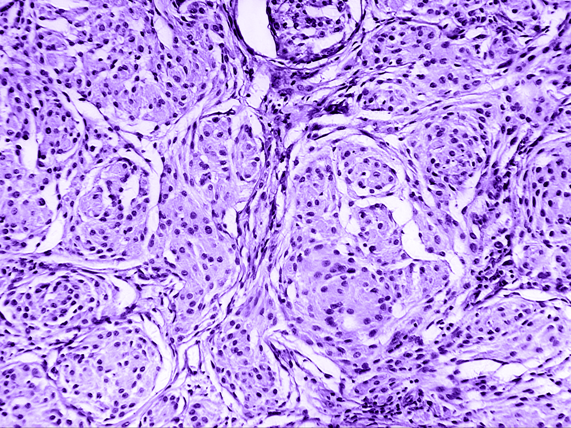
There are many different types of glioma, all of which are brain tumours that arise from the glial cells. However, an oligodendroglioma differs significantly in many of its characteristics from
The aim of every medical professional is to ensure that, irrespective of your circumstances and particular care needs, you get the specialised treatment that is right for you and right
For any patient who has been given a diagnosis of a glioma, the future may seem very uncertain. It will be important to learn about their condition and the treatments
Most of us will have experienced a twitching eyelid at some point in our lives. It can be disconcerting and even uncomfortable, and for most of us the twitching will
Stay up to date with the latest from Amethyst
Feeling any face pain or headaches?
Call us on 0203 456 7890 to book a consultation.





